Paramètres d'accessibilité
Fermer
Contrastes
Défaut
Renforcés
Inversés
Police
Défaut
Dyslexie
Interlignage
Défaut
Augmenté
Navigation au clavier visible
Défaut
Activée
CENTRE HOSPITALIER UNIVERSITAIRE
DE
REIMS
Standard :
03 26 78 78 78
Accessibilité
Toggle navigation
Le CHU
Le CHU de Reims
Organisation
Rapports d'activité - Chiffres clés
Développement durable
Égalité professionnelle femme homme
Éthique
Lieu de santé sans tabac : le CHU de Reims s'engage !
Achats & Fournisseurs
La culture au CHU de Reims
VENIR AU CHU
Avant de vous rendre aux Urgences
Avant de vous rendre aux Urgences
Projets
Projet d'établissement
Projets immobiliers
Engagements qualité
Indicateurs qualité
Certification du CHU
Sécurité du système d'information
ACTUALITÉS
Actualités
Agenda
Journal du CHU de Reims
Coopérations
Direction commune avec le Centre Hospitalier Auban-Moët d'Epernay
Groupement Hospitalier Universitaire de Champagne
Université de Reims Champagne-Ardenne
Fonds d'action
L'Apérose Solid'R est de retour !
Faire un don
Partenaires
L'ARS Grand Est
La région Grand Est
L'URCA
La conférence des Directeurs généraux de CHRU
ESPACE PRESSE
PUBLICATIONS LÉGALES
MARCHÉS PUBLICS
Offre de soins
Prises en charge
Nos services
Nos médecins
Filières
Filière Femme - Enfants
Filière Personnes Âgées - EHPAD
Cancérologie
Renforcement des coopérations entre le CHU et l'Institut en Cancérologie Jean Godinot
La prise en charge cancérologique au CHU
Accès aux traitements innovants et essais cliniques
Parcours patient par pathologie
Soins supports
Liens utiles
Centres de ressources
Centres spécialisés
Maladies rares
Centre de vaccinations internationales
Centres de Ressources Biologiques
Prises en charge transversales
Ambulatoire
Obésité
Maison de la santé
Recherche
Recherche clinique
Journée Rémoise des Jeunes Chercheurs en Santé - 2024
Organisation de la recherche
Institut d'intelligence artificielle en santé
L'IIAS, catalyseur de l'innovation en santé !
Lancement d'un appel à projet de l'IIAS
Axes de recherche 2022-2027
Essais cliniques - Portail de transparence
Recherche en soins
Première rencontre de la Recherche en soins
Centres de Ressources Biologiques
Enseignement
Enseignement médical
Centre d'enseignement des soins d'urgences (C.E.S.U)
Institut Régional de Formation (IRF)
Démarche qualité en formation
Présentation de l'IRF
Formations initiales
Formations continues
Handicap et accessibilité
Taxe d'apprentissage
Contacts et accès à l'IRF
Carrières
RECRUTEMENT
Événement | Rencontre des métiers du soin, du social et du médico-social 🏥
Job dating, quatrième édition
Offres d'emploi
Candidature spontanée secteur paramédical
Notre projet social et managérial
Signature d’une convention en faveur de l’insertion professionnelle des personnes en situation de handicap entre le CHU de Reims, le CH d’Epernay et le FIPHFP
Nos valeurs
Vis mon travail
Nos métiers et nos talents
SEMAINE DES TALENTS | Les talents professionnels et cachés de nos professionnels de santé
#DesTalentsUnPatient
Les actualités recrutement
Offres d'emploi
Job dating, 3ème édition
Job Dating, deuxième édition
Notre offre de formation
Nouvel Hôpital
Bâtiment C - Christian Cabrol
Présentation
Le saviez-vous ?
Galerie photos - Suivi des travaux
Galerie photos - Inauguration Bâtiment Christian Cabrol
Galerie photos - Découvrez les déménagements du bâtiment Christian Cabrol
Bâtiment B - Madeleine Brès
Présentation
Galerie photos - Suivi des travaux
Dans les coulisses ...
Accueil
Offre de soins
Prises en charge
Nos services
Chirurgie orthopédique et traumatologique
Interventions chirurgicales
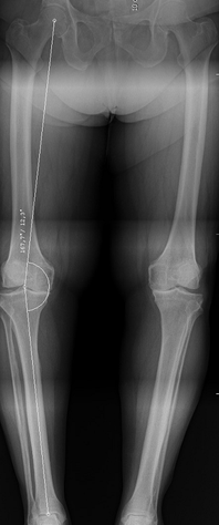
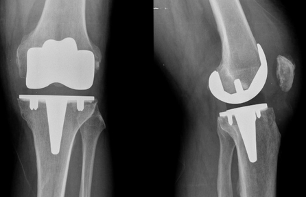
Genou
mise à jour le 17/07/2019 à 17:45:02
10335 vues
Partager cette page :
Imprimer
Partager par mail
Partager sur Facebook
Partager sur Twitter
Partager sur LinkedIn
Numéros d'urgence
Payez en ligne
Faire un don
MonDossierPatient
Demander un RDV
Numéros d'urgence
Payez en ligne
Faire un don
MonDossierPatient
Demander un RDV