Pour son bon fonctionnement, l’épaule nécessite l’intégrité des surfaces osseuses mais également une bonne fonction du muscle deltoïde (qui donne le galbe de l’épaule) et des muscles de la coiffe des rotateurs qui s’attachent sur les tubérosités de l’humérus. La mise en place d’une prothèse d’épaule peut être nécessaire en cas d’usure importante du cartilage (arthrose), en cas de fracture complexe de l’épaule ou en cas de lésion très importante et non réparable des tendons de la coiffe des rotateurs.

Usure des surfaces osseuses

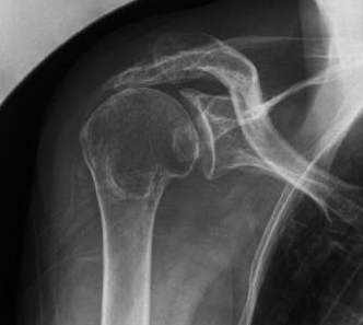
L'arthrose d'épaule est moins fréquente qu'à la hanche ou au genou mais elle est très invalidante, à l'origine de douleurs et de limitation des mouvements de l'épaule. Parfois, seule la tête humérale est touchée dans le cadre d'une ostéonécrose.

Exemple d'arthrose centrée de l'épaule

Fracture

Dans le cadre de certaines fractures complexes de l'épaule, la vascularisation de la tête humérale est compromise (interruption du flux sanguin vers la tête humérale). On propose alors la mise en place d'une prothèse d'épaule associée à la reconstruction des tubérosités sur lesquelles s'attachent les muscles de la coiffe des rotateurs.

Rupture massive de la coiffe des rotateurs

Elle survient le plus souvent chez des sujets âgés et s'accompagne d'une ascension de la tête humérale sous l'acromion à l'origine d'une impossibilité à monter le bras. Si la rupture de la coiffe n'est pas réparable, on peut envisager alors la mise en place d'une prothèse totale inversée d'épaule.

 Des examens complémentaires sont alors nécessaires pour étayer le diagnostic. Il s'agit le plus souvent de radiographies de l'épaule et d'un scanner de l'épaule (parfois un scanner avec injection de produit de contraste : arthroscanner).

Le traitement médical est toujours indiqué (sauf en cas de fracture) et consiste à réaliser de la rééducation pour conserver la mobilité et la force musculaire de l'épaule, une prise d'antalgiques ou d'anti-inflammatoires et à réaliser des infiltrations. En cas d'échec, le traitement chirurgical est alors la règle.

 La mise en place d'une prothèse totale d'épaule consiste à remplacer les surfaces articulaires usées par des pièces prothétiques. L'objectif de cette intervention est de soulager la douleur de façon durable et de redonner de la force et de la mobilité à l'épaule.Il existe deux grands types de prothèse d'épaule : les prothèses anatomiques et les prothèses inversées.

Exemple d'arthrose excentrée de l'épaule à cause d'une ascension de l'humérus

Prothèse anatomique

Ce type de prothèse est utilisée en cas d'arthrose d'épaule ou d'ostéonécrose de la tête humérale. Dans ce cas, les tendons de la coiffe des rotateurs sont compétents et l'intervention consiste à reproduire l'anatomie (cf. photo) en mettant en place une sphère métallique pour remplacer la tête humérale et une cupule en polyéthylène pour remplacer la glène de l'omoplate.

Exemple de prothèse anatomique d'épaule sans (image de gauche) ou avec (image de droite) resurfaçage de la glène

 

Prothèse totale d'épaule inversée. Notez le design de la prothèse qui est différent

Prothèse totale inversée

On appelle ainsi cette prothèse car la partie sphérique de la prothèse est positionnée sur l'omoplate et la partie concave sur l'humérus (cf photo ci-contre). Ce type de prothèse est utilisé en cas de lésion importante et non réparable de la coiffe des rotateurs ou encore en cas de reprise de prothèse (changement de prothèse) ou lorsque la glène de l'omoplate est très déformée.

Nous avons détaillé la technique chirurgicale dans un article en accès libre publié en 2014 dans la revue Orthopaedics & Traumatology : Surgery & Research. primary_shoulder_reverse_arthroplasty-_surgical_technique.pdf

Prothèse totale d'épaule inversée. Notez le design de la prothèse qui est différent

 

Pour ce type d’intervention, une hospitalisation de 2 à 5 jours est nécessaire. En post-opératoire, le bras est immobilisé dans une attelle pour une durée de 4 à 6 semaines mais la rééducation débute dès le lendemain de l’opération. Cette rééducation est basée sur des mouvements d’auto-rééducation que le patient effectue seul à domicile et sur des séances de kinésithérapie classique. Parfois votre chirurgien pourra vous proposer d'aller en centre de rééducation en post-opératoire.

Vous trouverez ci-dessous une fiche d'explication.

Fiche prothèse épaule